Alexandrine returns to McGill.
We're excited to have you join the lab for your PhD!
...
...
Contact: luke.mccaffrey@mcgill.ca
Characterization of cell-generated forces in tissue dynamics.
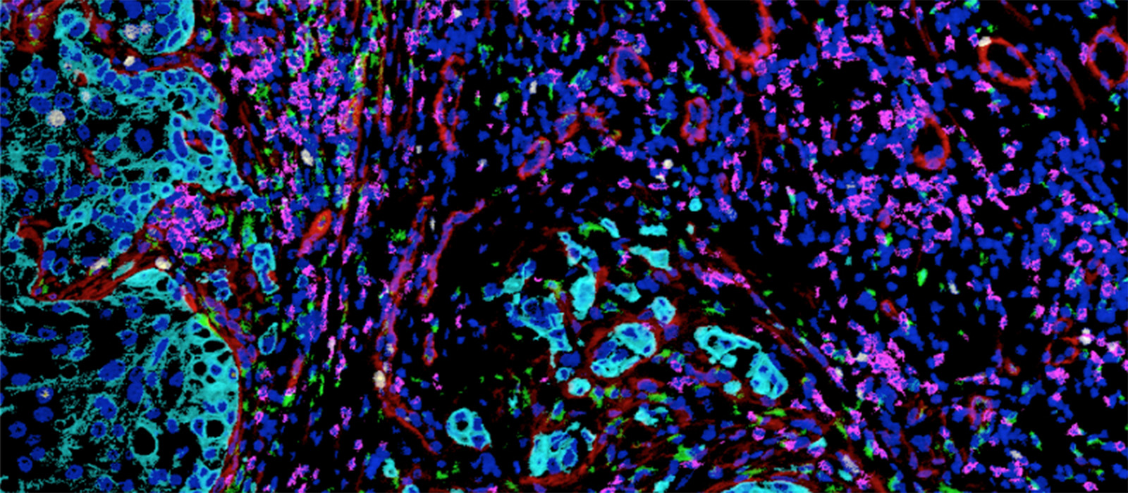
Immune cell dynamics in early breast cancer.
Cholesterol signaling in breast cancer progression.
Understanding the DCIS to Invasive Transition in Breast Cancer.
Prostate Epithelial Morphogenesis.
Landscape of epithelial phenotypes in breast cancer progression.
Mechanisms of Breast Cancer Initiation
Control of epithelial architecture during cancer progression.
Mechanisms of cell polarity and cancer progression.
Characterization of Heterogeneity in Prostate Intraepithelial Neoplasia.
...
1160 Pine Ave W, Montreal, Quebec H3A 1A3
(514) 398-8987 - office
(514) 398-2247 - lab
mccaffreylab@gcrc.mcgill.ca